41. ビタミン−欠乏症
- ビタミンA−夜盲症
- ビタミンC−壊血病
- ビタミンD−骨軟化症・くる病
- ビタミンE−新生児溶血性貧血
- ビタミンK−新生児メレナ
42. ホルモン−産生細胞
- レプチン−脂肪細胞
- インスリン−膵臓B細胞
- ガストリン−膵臓A細胞
- インクレチン−小腸L細胞 ( GLP-1 ) , 十二指腸K細胞 ( GIP )
- アディポネクチン−脂肪細胞
43. 経口ブドウ糖負荷試験 ( OGTT )
- 検体は血漿を用いる
- 妊娠糖尿病の診断に用いられる
- 試験前10時間は絶食する
- 糖尿病と診断された患者には禁忌である
- 病型診断に負荷前と2時間値が用いられる
44. 短期の栄養指標としてトランスフェリン ( 半減期:8〜10日 ) , レチノール結合蛋白 ( 半減期:約12時間 ) , トランスサイレチン ( 半減期:約2日 ) が用いられる
- アルブミンは半減期が15〜20日と長いため短期的な栄養評価には適さない
45. 組織標本作製の脱灰においてエチレンジアミン四酢酸〈 EDTA 〉法は約30℃の比較的高温でおこなわれる
- 塩酸法 , 硝酸法 , トリクロロ酢酸法 , プランク・リクロ〈 Plank-Rychlo 〉法での脱灰は通常15℃前後でおこなわれる
46. ヘマトキシリンの色出し時間を短縮する方法としてアンモニア水や炭酸リチウムを用いる方法がある
- ヘマトキシリンの色出しは流水で約5〜10分 , 温水であれば2〜5分浸漬するが , 上記の弱アルカリ溶液を用いる場合は標本を溶液内で数回上下するだけでよい
47. 喀痰のPapanicolaou染色標本

- この細胞で検査材料の適性を判定する
- 喀痰中に出現する組織球の存在によって喀痰細胞診の検査材料の適性評価がおこなわれる
- 組織球が存在しない場合は唾液成分や鼻汁の可能性がある
- 肺胞組織球は貪食により細胞質に茶褐色〜黒色の顆粒を有する
48. 完成した染色標本とパラフィンブロックの照合で確認できるのは切片の取り違えである
- 完成した染色標本とパラフィンブロックの照合は薄切時の切片の取り違えやフロストへのラベル貼り付け間違いによる検体の取り違え , 紛失などを避けるために重要な作業である
49. 肝前性黄疸の原因として溶血性貧血が挙げられる
- 肝性黄疸の原因としては薬剤性肝障害やアルコール性肝障害などが , 肝後性黄疸の原因としては胆管癌やDubin-Johnson症候群などが挙げられる
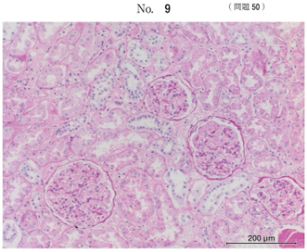
50. PAS反応標本

- 臓器は腎臓である
- ボーマン嚢・糸球体 ( 合わせて腎小体という ) と周囲に尿細管がみられる
- 糸球体基底膜 , 尿細管基底膜が赤紫色にPAS陽性となっていることが確認できる
51. FISH法による乳癌HER2検査の模式図

- HER2とCEP17のシグナル比 ( HER2 / CEP17 ) は3.0である
- 模式図のHER2シグナル総数が49 , CEP17シグナル総数が16であることからHER2 / CEP17は3.0でHER2増幅ありと判断される
- ISH法の陽性基準はHER2シグナル総数 / CEP17シグナル総数比が2倍を超えるもの , および2倍未満でもHER2遺伝子コピー数が6コピー以上あるものとされる
- HER2シグナル総数 / CEP17シグナル総数比が2倍未満かつ , HER2遺伝子コピー数が4~6未満はequivocal , 4未満は陰性とされる
52. 子宮頸部細胞診のPapanicolaou染色標本の弱拡大写真と強拡大写真

- SCC ( 扁平上皮癌 ) と判定される
- 壊死物質を背景にオレンジG好染性の異形細胞 ( オタマジャクシ型 ) が散在性にみられ , ライトグリーンの細胞質をもつ細胞も核が不整形で核クロマチンも不均等に増量し , 核と細胞質の面積比 ( N / C比 ) も高いことから扁平上皮癌が考えられる
- 子宮頸癌のリスク因子としてHPV ( ヒトパピローマウイルス ) 感染が挙げられる

53. 自動固定包埋装置とはホルマリン固定パラフィン包埋組織標本を作製する際の脱水 , 脱脂 , 脱アルコール , パラフィン浸透の順を自動でおこなう機器である
- 自動固定包埋装置における標本作製工程に乾燥操作は存在しない
54. Grocott染色は真菌を染め出す代表的な染色法であり , 真菌中の多糖類をクロム酸で酸化後 , 生じたアルデヒド基にメセナミン銀を反応させ菌体を黒〜黒褐色に染色する
表は横にスクロールできます ▶
| 染色法 | 加温 | 用いる銀液 |
| Grimelius染色 ( 神経内分泌細胞の染色 ) | 37℃ | 硝酸銀液 |
| Kossa反応 ( 石灰化の証明 ) | 不要 | |
| Masson-Fontana染色 ( 内分泌細胞の染色 ) | 60℃ | アンモニア銀液 |
| 渡辺の鍍銀法 ( 細網線維の染色 ) | 不要 | |
| Grocott染色 ( 真菌の染色 )PAM染色 ( 糸球体基底膜の染色 ) | 60℃ | メセナミン銀液 |
| Bodian染色 ( 神経原線維の染色 ) | 37℃ | プロテイン銀液 |
55. ホルムアルデヒドは発がん性が指摘されており , 特定化学物質障害予防規則で第2類 , 毒物及び劇物取締法で劇物に指定されている
- 作業環境中の管理濃度が0.1 ppmと定めされている
56. 疾病の内因となるものに性別・加齢的因子・遺伝的因子などが挙げられる
- 外因には温度 , 感染 , 紫外線 , 放射線などが挙げられる
57. 染色法−目的物質 ( 染色結果 )
- Congo red染色−アミロイド ( 橙赤色 )
- Alcian blue染色−酸性粘液 ( 青色 )
- Ziehl-Neelsen染色−抗酸菌 ( 赤色 )
- Sudan black B染色−脂肪 ( 黒青色 )
- Masson trichrome染色−膠原線維 ( 青色 )
- アミロイドの染色法としてCongo red染色やDirect fast scarlet ( DFS ) 染色が挙げられ , アミロイドは偏光顕微鏡で黄〜緑色複屈折光を示す
58. 病理解剖時に摘出された臓器のホルマリン固定後の肉眼写真

- 臓器は肺である
- 上・中・下の3葉に分かれていることから右肺であることが分かる
- 重量は右肺が約600 g , 左肺が約500 gである
- 上葉で特に目立つ黒色の色素沈着は喫煙などの所見である
59. プロスタサイクリンは血管内皮細胞から放出される生理活性脂質であり , 血栓形成を抑制する
- トロンボキサンA2は血小板活性化を惹起し血栓形成を促進する
60. 骨髄塗抹標本の染色法と対象細胞の組み合わせ
- 鉄染色−環状鉄芽球など
- PAS染色−異常赤芽球 ( 正常血液細胞の大部分は弱陽性〜陽性を示すが , 正常赤芽球は陰性 )
- ペルオキシダーゼ染色−好中球や好酸球などの顆粒球系細胞 , 単球系細胞
- 特異的エステラーゼ染色−好中球や好酸球などの顆粒球系細胞
- 非特異的エステラーゼ染色−単球系細胞 , 巨核球系細胞
画像の出典:臨床検査技師国家試験 第71回 午前 別冊
■ 続きの解説は《 こちら 》
