今回は臨床病理学の染色法 ( 色素 ) を問う画像問題をまとめました!

第48回〜第71回の24年間で出題数は38問でした!
では、恒例の出題数ランキングのグラフを見ていきましょう!

出題数が多かった染色法はPAS染色の5問で、次いでAzan染色 ( Azan-Mallory染色 ) 、Masson trichrome染色、Berlin blue染色が同列でそれぞれ4問の出題でした!
PAS染色が僅差で最多ではありますが、意外に出題数が突出している染色法はなく、満遍なく出題されているようです。
無数にある染色法ですが、この記事ではこれまでに画像問題として出題があった染色法をすべて網羅しているのでぜひ何度も見返して覚えいって下さいね!
出題パターン
染色法に関する画像問題の出題パターンは基本的に…
の3パターンです!

問われること自体は単純ですが、染色法が多数あるのでどれだけ多くの染色法を知っているかが問題を解く鍵ですね!
素直に染色法を問う問題ではなくても染色法の目的物質等を知っていれば解ける様な関連する過去問も一緒に載せておいたのでより理解を深めてください!
これまでの問題と解説
それでは、実際の問題を元に出題数が多い順に解説していきます!
前述の通り、問われることは決まっているので重要なところはマーカーを引いています!
( 免疫組織化学染色に関しては番外編として最後の方で解説しています )
PAS染色
シッフ試薬を用いて、単純多糖類 ( グリコーゲンなど ) 、粘液蛋白を赤紫色に染色 ( PAS陽性 ) する。糸球体・尿細管・血管の各基底膜およびメサンギウム基質、印環細胞癌に含まれる粘液、粘液産生腫瘍、赤痢アメーバは糖蛋白を含むため、赤紫色に染色 ( PAS陽性 ) される。心筋や脳に沈着するリポフスチンも糖蛋白を含むためPAS陽性となる。
第62回 午前 問52
胃組織のH-E染色標本を示す. 診断に有用な染色法はどれか.

- PAS反応
- azan染色
- Grocott染色
- SudanⅢ染色
- Klüver-Barrera染色
1
第62回 午後 問53
大腸病変部の染色標本を示す. 染色法はどれか.

- PAS反応
- Gram染色
- orcein染色
- Grocott染色
- Ziehl-Neelsen染色
1

染色法を問う問題ではないですが、PAS染色に関する問題で以下のような出題もあったので載せておきます↓
赤痢アメーバ原虫がPAS染色陽性であるということを知っていれば解ける問題ですね!
第66回 午前 問57
H-E染色標本AとPAS染色標本Bを示す. 病原微生物はどれか.

- 赤痢アメーバ
- トリコモナス
- アスペルギルス
- クリプトコッカス
- ヘリコバクター・ピロリ
[ 解答 1 ]
第57回 午後 問54
染色法はどれか.

- PAM染色
- PAS染色
- azan染色
- PTAH染色
- Bodian染色
2
第56回 午前 問54
卵巣腫瘍のH-E組織標本を示す. 病変の同定に有用なのはどれか.

- PAS染色
- PTAH染色
- コッサ染色
- ズダンIII染色
- シュモール染色
1
第52回 午後 問31 ( 解2つ )
心筋のH-E染色標本を示す. 心筋細胞内の顆粒 ( 矢印 ) が陽性を示す染色法はどれか.

- アザン・マロリー染色
- アルシアン青染色
- コッサ染色
- マッソン・フォンタナ染色
- PAS染色
4 , 5

PAS染色の目的物質を知っていれば解ける問題を追加で2つ載せておきます↓
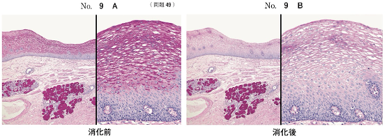
第70回 午前 問49
食道のPAS染色標本Aとα-アミラーゼ消化後のPAS染色標本Bを示す. 消化試験で同定されるのはどれか.

- 線維素
- 中性粘液
- アミロイド
- グリコーゲン
- リポフスチン
[ 解答 4 ]
第55回 午後 問55
肝臓の特殊染色標本を示す. 陽性物質で正しいのはどれか.

- 偏光頭微鏡で緑色偏光を呈する
- ムチカルミン染色で赤色に染まる
- アルシアン青染色で青色に染まる
- ジアスターゼ消化試験で消失する
- トルイジンブルー染色で異染色性を示す
[ 解答 4 ]
グリコーゲンはPAS染色が陽性ですが、グリコーゲンであるということを証明するために追加でアミラーゼ ( ジアスターゼ ) 消化試験が用いられる場合があります。
Azan染色 / Azan-Mallory染色
Azan染色とAzan-Mallory染色は同じものを指す。この染色法は膠原線維や糸球体基底膜をアニリンブルーにより青色、細胞質や核、筋繊維をアゾカルミンGにより赤色に染色する。

Azan染色は肝硬変による肝実質の線維化 ( 膠原線維の増生 ) や心筋梗塞の梗塞部位の線維化を染め分けられるので病変の広がりや治癒段階の推定に用いられます。
第67回 午前 問47
肝臓の特殊染色標本を示す. 染色はどれか.

- azan染色
- oil red O 染色
- Victoria blue染色
- toluidine blue染色
- Masson trichrome染色
1
第66回 午前 問51
陳旧性心筋梗塞のH-E染色標本を示す. 病変の広がりを確認するために最も適している染色法はどれか.

- Alcianblue染色
- azan染色
- Masson-Fontana染色
- mucicarmine染色
- SudanⅢ染色
2
第60回 午前 問55
腎組織の特殊染色標本を示す. 使用する染色液はどれか. 2つ選べ.

- マッソン〈 Masson 〉液
- ワンギーソン〈 van Gieson 〉液
- アゾカルミンG液
- 鉄ヘマトキシリン液
- アニリン青オレンジG液
3 , 5
第56回 午前 問52
肺組織の特殊染色標本を示す. 染色法はどれか.

- ベルリン青染色
- アザン・マロリー染色
- クリューバー・バレラ染色
- エラスチカ・ワンギーソン染色
- ダイレクト・ファースト・スカーレット染色
2
Masson trichrome染色
Azan染色と同様に膠原線維を染め分けることができる染色法である。膠原線維や糸球体基底膜をアニリンブルーにより青色、細胞質を酸フクシンで赤色に、核を鉄ヘマトキシリンで黒紫色に染色する。膜性腎症などで糸球体に沈着する免疫グロブリンは赤色に染色される。
第64回 午前 問51
腎臓の特殊染色標本を示す. 染色法はどれか.

- PAS反応
- PAM染色
- PTAH染色
- toluidine blue染色
- Masson trichrome染色
5
第59回 午前 問53
腎組織標本を示す. 染色法はどれか.

- elastica van Gieson染色
- Masson trichrome染色
- PAM染色
- PAS染色
- PTAH染色
2
第55回 午前 問56
腎生検の特殊染色標本を示す. 染色法はどれか.

- PAM染色
- PAS染色
- トルイジンブルー染色
- マッソン・トリクローム染色
- エラスチカ・ワンギーソン染色
4
第48回 午後 問22
腎生検の特殊染色を示す. 染色法はどれか.

- トルイジン青染色
- エラスチカ・ワンギーソン染色
- マッソン・トリクローム染色
- PAM染色
- PAS染色
3
Berlin blue染色
フェロシアン化カリウムが組織中の3価の鉄イオンと反応し、不溶性の青い色素 ( ベルリンブルー ) を生成する。3価鉄を含むヘモジデリンやアスベスト小体が青藍色に染色される。心臓の機能障害や肺うっ血の指標となる心臓病細胞( ヘモジデリンを含有する肺胞マクロファージ ) の検出にも用いられる。核はケルンエヒトロートにより赤色に染色される。
第65回 午後 問50
左心不全症例の肺の特殊染色標本を示す. 染色法はどれか.

- Alcian blue染色
- Berlin blue染色
- methylene blue染色
- Nile blue染色
- toluidine blue染色
2
第61回 午前 問54
肺に沈着したアスベスト小体の染色標本を示す. 染色法はどれか.

- Alcian blue染色
- Berlin blue染色
- methylene blue染色
- Nile blue染色
- Victoria blue染色
2
第56回 午後 問54
肺組織のH-E染色標本を示す. 矢印の構造物を同定するのに有用なのはどれか.

- PAS染色
- グラム染色
- ベルリン青染色
- アザン・マロリー染色
- マッソン・フォンタナ染色
3
第52回 午後 問32
胸膜中皮腫の特殊染色標本を示す. 染色法はどれか.

- ナイル青染色
- ベルリン青染色
- メチレン青染色
- ビクトリア青染色
- アルシアン青染色
2
Alcian blue染色
酸性粘液多糖類をアルシアンブルーにより青色に染色する。軟骨肉腫や印環細胞癌、中皮腫などで粘液が特徴的に染色される。核は対比染色のケルンエヒトロートにより赤色に染色される。
第69回 午前 問48
気管支の特殊染色標本を別に示す. 染色法はどれか.

- Nile blue染色
- Berlin blue染色
- Alcian blue染色
- Victoria blue染色
- toluidine blue染色
3
第64回 午前 問52
軟骨組織の特殊染色標本を示す. 染色法はどれか.

- azan染色
- Berlin blue染色
- Alcian blue染色
- mucicarmine染色
- toluidine blue染色
3
第63回 午後 問54
胃癌摘出時の郭清リンパ節標本を示す. 染色法はどれか.

- PAS反応
- Berlin blue染色
- Alcian blue染色
- mucicarmine染色
- toluidine blue染色
3
Masson-Fontana染色
アンモニア銀液を用いて硝酸銀を還元するメラニンや内分泌細胞、リポフスチンを黒褐色に染色する。核はケルンエヒトロートにより赤色に染色される。Masson-Fontana染色で使用するアンモニア銀液は60℃に加温する必要がある。
第65回 午前 問47
皮膚のH-E染色標本を示す. 矢印に示す褐色顆粒を染色する染色法はどれか. 2つ選べ.

- Kossa反応
- SudanⅢ染色
- Schmorl反応
- Berlin blue染色
- Masson-Fontana染色
3 , 5
第63回 午後 問53
皮膚のH-E染色標本を示す. 組織内の褐色色素を証明する染色法はどれか.

- PTAH染色
- Grimelius染色
- Congored染色
- Berlin blue染色
- Masson-Fontana染色
5
第52回 午後 問31 ( 解2つ )
心筋のH-E染色標本を示す. 心筋細胞内の顆粒 ( 矢印 ) が陽性を示す染色法はどれか.

- アザン・マロリー染色
- アルシアン青染色
- コッサ染色
- マッソン・フォンタナ染色
- PAS染色
4 , 5
PAM染色
メセナミン銀を用いて腎糸球体基底膜、メサンギウム細胞、毛細血管基底膜を黒色に染色する。PAM染色で使用するメセナミン銀液は60℃に加温する必要がある。
第63回 午前 問53
腎臓の特殊染色標本を示す. 染色法はどれか.

- PAS反応
- azan染色
- PAM染色
- Masson trichrome染色
- elastica van Gieson染色
3
第61回 午前 問53
腎臓の染色標本を示す. 染色法はどれか.

- azan染色
- Bodian染色
- Congo red染色
- elastica van Gieson染色
- PAM染色
5
第52回 午後 問30
腎生検の特殊染色標本を示す. 使用されている試薬はどれか.

- アルコール銀液
- アンモニア銀液
- ピリジン・アンモニア銀液
- プロテイン銀液
- メセナミン銀液
5
Grimelius染色
硝酸銀液を用いて膵臓ランゲルハンス島A細胞や神経内分泌顆粒 ( カルチノイドなど ) を茶褐色〜黒色に染色して検出する。Grimelius染色で使用する硝酸銀液は37℃に加温する必要がある。
第71回 午後 問46
膵臓の特殊染色を示す. 染色法はどれか.

- PAM染色
- Bodian染色
- Grimelius染色
- Warthin-Starry染色
- Masson-Fontana染色
3
第51回 午後 問35
小腸カルチノイド腫瘍の特殊染色標本を示す. 染色はどれか.

- グリメリウス染色
- グロコット染色
- コッサ反応
- コロイド鉄染色
- ズダン黒B染色
1
Grocott染色
メセナミン銀液を用いて真菌全般を黒色に染色する。対比染色にライトグリーンを使用するため背景は緑色になる。Grocott 染色で使用するメセナミン銀液は60℃に加温する必要がある。
第64回 午後 問53
肺の特殊染色標本を示す. 染色法はどれか.

- Gram染色
- orcein染色
- Giemsa染色
- Grocott染色
- mucicarmine染色
4
第61回 午後 問54
肺病変部の染色標本を示す. 染色法はどれか.

- Feulgen反応
- Gram染色
- Grocott染色
- mucicarmine染色
- 渡辺の鍍銀法
3

Grocott染色された標本の病原体を問う問題があったので載せておきます↓
第49回 午後 問29
肺病変のグロコット染色光学顕微鏡写真を示す. 病原体はどれか.

- クレブシエラ
- アスペルギルス
- クリプトコッカス
- カリニ原虫
- カンジダ
[ 解答 2 ]
elastica van Gieson染色
ワイゲルトのレゾルシンフクシン液で弾性線維を黒紫色に、酸フクシンで膠原線維を赤色に、ピクリン酸で筋繊維や細胞質、赤血球を黄色に染色する。
第61回 午後 問52
elastica van Gieson染色標本を示す. 矢印部分を染色している色素はどれか.

- orcein液
- メセナミン銀液
- Sudan black B染色液
- アルデヒド・フクシン液
- ワイゲルト〈 Weigert 〉のレゾルシン・フクシン液
5
第58回 午前 問52
特殊染色標本を示す. 染色法はどれか.

- azan染色
- elastica van Gieson染色
- PAM染色
- PAS染色
- PTAH染色
2
渡辺の鍍銀法
アンモニア銀液や過マンガン酸カリ液を用いて細網線維を黒色、膠原線維などを赤褐色に染色する。
第58回 午後 問52
肝組織標本を示す. 染色法はどれか.

- azan染色
- elastica van Gieson染色
- Masson trichrome染色
- PTAH染色
- 渡辺鍍銀法
5
Schmorl反応
フェリシアン化カリウムを用いて還元性のある色素 ( リポフスチンやメラニン ) を濃青色に染色する。核はケルンエヒトロートにより赤色に染色される。
第65回 午前 問47
皮膚のH-E染色標本を示す. 矢印に示す褐色顆粒を染色する染色法はどれか. 2つ選べ.

- Kossa反応
- SudanⅢ染色
- Schmorl反応
- Berlin blue染色
- Masson-Fontana染色
3 , 5
Victoria blue染色
ビクトリアブルー溶液 ( ビクトリアブルーやレゾルシンを含有 )を用いて弾性線維とHBs抗原を青色に染色する。癌の血管侵襲の同定にも利用される。HBs抗原を染色する場合は前処理として酸化と還元をおこなう。核はケルンエヒトロートにより赤色に染色される。
第53回 午後 問90
胃癌静脈浸潤部の顕微鏡写真を示す. 矢印で示される部位を青く染色している色素は何か.

- アルシアン青
- ビクトリア青
- ヘマトキシリン
- ベルリン青
- レゾルシン
2

染色法を問う問題ではないですが、ビクトリアブルーとHEの重染色の画像問題で以下のような出題もあったので載せておきます↓
第63回 午前 問52
大腸癌の特殊染色標本を示す. この染色法が目的とする対象はどれか.

- 筋線維
- 弾性線維
- 細網線維
- 膠原線維
- 神経線維
[ 解答 ] 弾性線維
PTAH(リンタングステン酸・ヘマトキシリン)染色
リンタングステン酸・ヘマトキシリンを用いて横紋筋やフィブリン、神経膠繊維を青色に、膠原線維を赤色に染色する。媒染剤として重クロム酸カリウム液を使用する。
第62回 午前 問54
舌組織の染色標本を示す. 染色法はどれか.

- azan染色
- PTAH染色
- Giemsa染色
- Masson trichrome染色
- elastica van Gieson染色
2
Giemsa染色
メチレンブルー、メチレンアズール、エオジンの混合液であるギムザ染色液を用いて核を青〜紫、細胞質をライトブルーに染色する。血液細胞の同定だけでなくマラリア原虫やHelicobacter pyloriの染色に用いられることもある。血液学分野でよく使用される。
第54回 午前 問53
難治性胃潰瘍患者の胃生検標本を示す. 染色法はどれか.

- アザンマロリー染色
- ギムザ染色
- クリューバー・バレラ染色
- ビクトリア青染色
- ベルリン青染色
2
Ziehl-Neelsen染色
石炭酸フクシン液、3%塩酸アルコール ( 脱色 ) 、メチレンブルーを用いて抗酸菌をピンク色に染色する。背景および抗酸菌以外の細菌はメチレンブルーにより水色となる。石炭酸フクシン液で染色する際に加温 ( 標本の下から直接火で炙って湯気が出る程度 ) をする。
第58回 午前 問54
肺のホルマリン固定後の肉眼像とH-E染色標本を示す. 病原体の検出に有効な染色はどれか.

5

この問題の画像は結核の所見です。HE染色画像の右下側に乾酪壊死が広がっており、左上側に向かって複数のラングハンス巨細胞も認めます。
番外編:免疫組織化学染色

免疫組織化学染色の出題も少ないながらもあるので一応触れておきます!
出題数が少ないので問われることの傾向はまだわからないですが、今のところ出題があった2問で問われたのは…
です!
免疫組織化学染色 ( 蛍光抗体法 )
蛍光抗体法:蛍光抗体法では蛍光色素にグリーン系のFITC ( フルオレセインイソチオシアネート ) 、オレンジ系のRITC ( テトラメチルローダミンイソチオシアネート ) が用いられる。当然、使用する抗体により陽性となる部位は異なるが、これまでの臨床検査技師国家試験では腎糸球体をFITCで染色したものしか出題されていない。

臨床免疫学の画像問題でも蛍光抗体法の問題 ( 第64回 午前 問83 ) が出ていたので載せておきます。
第68回 午前 問47
腎組織の未固定凍結切片を用いた免疫組織化学染色を示す. この染色法について正しいのはどれか.

- 加熱処理を行う
- 発色反応操作を行う
- 偏光顕微鏡で観察する
- 内因性ペルオキシダーゼをブロックする
- フルオレセインイソチオシアネート〈 FITC 〉標識抗体を使用する
5
第64回 午前 83 ( 臨床免疫学の問題 )
次の文を読み83 , 84の問いに答えよ.
30歳の女性. 出産後に発熱が続き , 蝶形紅斑および蛋白尿を認めたため入院した. 腎生検を行い , 蛍光抗体法によってC1qを染色した結果を示す. 血液検査で認められる可能性が高い所見はどれか. 2つ選べ.

- 大球性貧血
- 好中球増多
- リンパ球減少
- γ-グロブリン低下
- 補体活性低下
3 , 5
この患者に認められる可能性の高い自己抗体はどれか. 2つ選べ.
- 抗核抗体
- 抗Jo-1抗体
- 抗DNA抗体
- 抗平滑筋抗体
- 抗セントロメア抗体
1 , 3
免疫組織化学染色 ( 酵素抗体法 )
酵素抗体法:酵素抗体法はペルオキシダーゼやアルカリホスファターゼなどの酵素によって抗体を標識し、抗体の結合部位を酵素反応によって発色させることで抗原物質の局在を明らかにする。画像問題では核が陽性なのか細胞質または細胞膜が陽性なのかで抗体を判別することになるが、細胞質・細胞膜に陽性となるマーカーが圧倒的に多いため、核が陽性となるマーカーを覚えて消去法で問題を解くのが良い。

以下のマーカーで核が陽性となります!
第59回 午後 問55
乳癌組織の免疫組織化学染色標本を示す. 使用された抗体はどれか.

- 抗Ki67抗体
- 抗HER2 / neu抗体
- 抗p53抗体
- 抗エストロゲンレセプター〈 ER 〉抗体
- 抗プロゲステロンレセプター〈 PgR 〉抗体
2
補足:銀液を使用する染色法について
ここまで解説した染色法に関する画像問題の中にも銀液を使用する染色法がいくつかありましたが、画像なしの文章問題で単純にどの銀液を使用するかを問う問題や銀液の加温の要不要を問う問題も過去問にはあります。
これらの問題も解けるように銀液の種類と加温の要不要もこの機会に一緒に覚えちゃいましょう!
| 染色法 | 加温 | 用いる銀液 |
| Grimelius染色 ( 神経内分泌細胞の染色 ) | 37℃ | 硝酸銀液 |
| Kossa反応 ( 石灰化の証明 ) | 不要 | |
| Masson-Fontana染色 ( 内分泌細胞の染色 ) | 60℃ | アンモニア銀液 |
| 渡辺の鍍銀法 ( 細網線維の染色 ) | 不要 | |
| Grocott染色 ( 真菌の染色 ) PAM染色 ( 糸球体基底膜の染色 ) | 60℃ | メセナミン銀液 |
| Bodian染色 ( 神経原線維の染色 ) | 37℃ | プロテイン銀液 |

どの銀液を使用するかはそのまま覚えるしかないですが、加温の要不要については銀液を使用する染色法は加温が必要なものの方が多いので、加温が不要なものを覚えて消去法で解くのが良さそうですね!
まとめ
冒頭でも触れましたが、染色法に関する画像問題は出題にあまり偏りがなく満遍なく出題されていることがわかりましたね。

それぞれの染色法の出題年を見てもらってもわかる通り、近年よく出る染色法などの傾向も特にみられなかったです。
ただ、問われることのパターンは決まっているので過去に出題があった染色法 ( この記事に載っている染色法 ) に関してはしっかり暗記して本試験に挑みましょう!
♦ ウラ解答の教材はこちら
♦ その他のまとめ記事はこちら
♦ 過去問周回サイトはこちら
