この記事では臓器の同定と組織診に関する問題を解説していきます!

臓器を同定する問題は定番中の定番です!
単に何の臓器かを同定する問題はなんとなーく感覚でわかる問題が多く、サービス問題もあったので正答率は高めかと思いますが、取りこぼしのないようにしましょう!
問われることは?
細胞から臓器を同定する問題の場合…
この3パターンで構成されており、”膵臓”の出題が多めです!それぞれの臓器が何の細胞からなるのか、その細胞はどんな形なのか、何を分泌するのかをしっかり覚えておく必要があります。
組織診の問題の場合…
この3パターンです。組織診の問題は癌などに侵された状態だったり、正常臓器とはかけ離れた見た目になっているものもあるので凡ミスで間違えない様にちょっと注意が必要かもしれません。
また、病変臓器の画像から合併症を答えさせる問題は知識を問う発展的な問題と言えそうです。
細胞から臓器を同定する問題
これまでに出題があった臓器は…
膵臓 ( 4問 )・腎臓 ( 3問 )・甲状腺 ( 2問 )・皮膚・胃・副腎・尿管・小脳・肝臓・気管・膀胱・大腸・食道
です!

バラバラですね…。ただ、ランゲルハンス島や糸球体、コロイドなどの特徴的な像が見られる臓器がちょい多めな感じですね。
では、実際の問題を見ていきましょう!
膵臓
すべて腺房細胞とランゲルハンス島が見られる画像からの出題である。ランゲルハンス島は周囲の腺房細胞よりも明るい色で染色される。ランゲルハンス島のα細胞からはグルカゴンが、β細胞からはインスリンが、ε細胞からはグレリンが、PP細胞からは膵ポリペプチドが分泌される。
第66回 午後 問48
H-E染色標本を示す. 臓器はどれか.

【 解答 】 膵臓
第61回 午後 問50
H-E染色標本を示す. 矢印で示す細胞群から分泌されるのはどれか.

【 解答 】 インスリン
第59回 午後 問50
H-E染色標本を示す. この臓器はどれか.

【 解答 】 膵臓
第53回 午後 問84
ある臓器の顕微鏡写真を示す. 矢印に示す構造で産生される物質はどれか.

【 解答 】 インスリン

ランゲルハンス島の”β細胞”から産生されるインスリンですが、過去問ではインスリン以外の選択肢は全て膵臓からは産生されないホルモンでした!
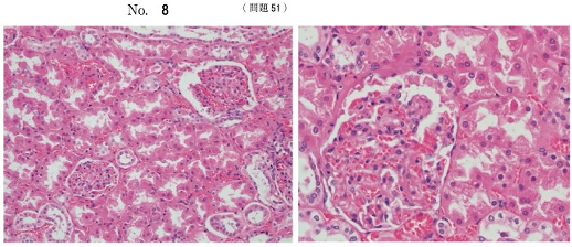
腎臓
すべてボーマン嚢・糸球体 ( 腎小体 ) と周囲に尿細管が見られる画像からの出題である。PAS染色ではメサンギウム基質や基底膜の変化などが観察できる。
第71回 午前 問50
PAS反応標本を示す. この臓器はどれか.

【 解答 】 腎臓
第67回 午後 問51
H-E染色標本を示す. 臓器はどれか.

【 解答 】 腎臓
第57回 午後 問53
特殊染色標本を示す. この臓器はどれか.

【 解答 】 腎臓
甲状腺
濾胞上皮細胞とC細胞 ( 傍濾胞細胞 ) がコロイド ( 甲状腺ホルモンの前駆物質 ) を囲む構造をとり、大部分を占めるのは濾胞上皮細胞で、これらが単層に配列して濾胞を形成する。C細胞は濾胞上皮と基底膜の間にまばらに存在する数が極めて少ない細胞である。
第67回 午前 問49
H-E染色標本を示す. この臓器はどれか.

【 解答 】 甲状腺
第61回 午前 問50
H-E 染色標本を示す. 臓器はどれか.

【 解答 】 甲状腺
皮膚
皮膚は大きく表皮と真皮に分けられ、表皮は基底層、有棘層、顆粒層および角質層から構成されている。真皮層から表皮を貫くように汗管や脂腺管がみられる。
第71回 午後 問55
H-E染色標本を示す. この臓器はどれか.

【 解答 】 皮膚
胃
胃は内腔面から粘膜、粘膜筋板、固有筋層、漿膜下層、漿膜の5層構造に分けられる。下に示す過去問は胃底腺領域の胃粘膜組織である。胃底腺の主細胞からはペプシノゲンが、壁細胞からは塩酸と内因子が、副細胞からはムチンが産生され、幽門腺のG細胞からはガストリンが産生される。
第70回 午後 問54
H-E染色標本を示す. この臓器はどれか.

【 解答 】 胃

胃の細胞から何が分泌されるかを問う問題もあったので載せておきます。主細胞は好塩基性に染色され、壁細胞は好酸性に染色されます。
第52回 午後 問18
正常胃粘膜のH-E染色標本を示す. 矢印の好酸性細胞が分泌するのはどれか.

【 解答 】 塩酸
副腎
副腎は体積の75〜90%ほどを占める副腎皮質とその中心部にある副腎髄質からなる。被膜、球状帯、束状帯、網状帯、髄質からなり、毛細血管が密である。
第68回 午後 問48
H-E染色標本を示す. この臓器はどれか.

【 解答 】 副腎
尿管
尿管は尿路上皮とそれを覆う被蓋細胞、粘膜下組織、縦走筋、輪走筋、外膜からなる。
第63回 午前 問45
H-E染色標本を示す. 臓器はどれか.

【 解答 】 尿管
小脳
小脳は表層の灰白質の小脳皮質とその内側にある髄質からなり、髄質の中心部には小脳核 ( 歯状核・球形核・栓状核・室頂核 ) が存在する。小脳皮質は分子層、プルキンエ細胞層、顆粒層の3層からなり、分子層には星状細胞とバスケット細胞が、プルキンエ細胞層には大型のプルキンエ細胞が、顆粒層には顆粒細胞とゴルジ細胞が存在する。
第63回 午後 問45
H-E染色標本を示す. 臓器または組織はどれか.

【 解答 】 小脳

ニッスル小体 ( 神経細胞の細胞内に存在する顆粒 ) 、リポフスチン ( 老化により蓄積する消耗性色素 ) を問う画像問題もあったので載せておきます↓
第66回 午前 問46
小脳のKlüver-Barrera染色標本を示す. 矢印で示すのはどれか.

【 解答 】 Nissl小体
第55回 午前 問45 , 問46
問45. 脳組織 ( A , B ) を示す. 矢印で示す細胞は何か.

【 解答 】 神経細胞
問46. 矢印で示す細胞内に存在する顆粒はどれか.
【 解答 】 リポフスチン
肝臓
肝細胞の索状配列がみられ、その間隙に類洞があり、グリソン鞘で囲まれた肝小葉の中心部には中心静脈が認められる。グリソン鞘には3つの管※があり、これを肝三組みと呼ぶ。肝臓は細網線維が豊富なため、鍍銀染色で肝細胞を縁取るように網目状に染色される。
※ 小葉間動脈 ( 腹腔動脈の末梢枝 )・小葉間静脈 ( 門脈の末梢枝 )・小葉間胆管
第63回 午後 問52
渡辺の鍍銀法の染色標本を示す. 臓器はどれか.

【 解答 】 肝臓

グリソン鞘の管を問う画像問題があったので載せておきます↓
第52回 午後 問19
肝臓のグリソン鞘の組織標本を示す. 矢印で示すのはどれか.

【 解答 】 門脈
補足:肝臓の脂肪変性について
肝臓は最も脂肪変性が生じやすい臓器で、脂肪変性に関連する出題もあったので、載せておきます!脂肪はアルコールや有機溶剤に溶けるため、通常の標本作製では固定や包埋の過程で消失し白く抜けます。
第57回 午後 問47
肝組織のH-E染色標本を示す. 該当する所見はどれか.

【 解答 】 変性
第53回 午後 問79
肝臓のH-E染色標本を示す. 沈着している物質はどれか.

【 解答 】 脂肪
気管
気管壁の粘膜は多列線毛円柱上皮細胞で覆われ、間に胚細胞がみられる。その下には粘膜固有層、軟骨膜、硝子軟骨がある。背側 ( 食道との境目 ) には膜性壁と呼ばれる主に平滑筋からなる組織がある。
第60回 午前 問46
H-E染色標本を示す. 臓器はどれか.

【 解答 】 気管
発見!!

この問題の画像、このサイト ( 日本病理学会教育委員会編集:病理コア画像 ) の画像と同じです…!!
このサイトの運営開始が2009年でこの画像がいつアップロードされたのかはわかりませんが、”病理コア画像”を病理の国家試験勉強の参考にするのも良いかもしれません。いや、しましょう!

気管支の細胞を問う画像問題もあったので追加で載せておきます↓
第66回 午後 問47
気管支擦過のPapanicolaou染色標本を示す. 細胞はどれか.

【 解答 】 線毛円柱上皮細胞
膀胱
内腔は被蓋細胞、その下に尿路上皮細胞、粘膜固有層、粘膜下層、厚い3層からなる筋層で構成される。
第59回 午前 問45
H-E染色標本を示す. この臓器はどれか.

【 解答 】 膀胱
大腸
内腔側は単層円柱上皮で覆われ、その下に粘膜筋板、粘膜下層、固有筋層 ( 内輪走筋層・外縦走筋層 ) 漿膜下層が認められる。大腸粘膜は杯細胞を多数認めることも特徴である。
第58回 午前 問45
H-E染色標本を示す. この臓器はどれか.

【 解答 】 大腸
発見2!!

この問題の画像も…です。病理コア画像…。
食道
内腔側は厚い非角化重層扁平上皮で覆われ、その下に粘膜筋板、粘膜下層、固有筋層 ( 内輪走筋層、外縦走筋層 ) 漿膜下層が認められる。
第55回 午後 問47
組織像を示す. 臓器はどれか.

【 解答 】 食道
組織診の問題
組織診の問題でこれまでに出題があった臓器は…
脾臓 2問・肝臓 2問・肺・大動脈弁・心臓
です!
冒頭でも述べましたが、病気により正常の臓器とは見た目が変わってしまっている画像の出題もあるので、そこは注意が必要ですね。
組織診の問題なので、臓器の機能面ではなく肉眼的な特徴に重点を置いて解説していきます!
脾臓
脾臓は左上腹部にあり、80〜120gの暗赤色を呈する多量の血液を含んだ実質器官である。上前縁に切痕 ( 切れ込み ) を有することも肉眼的な特徴である。
第68回 午後 問57
病理解剖時に摘出された臓器の肉眼写真を示す. 臓器はどれか.

【 解答 】 脾臓
第63回 午前 問58
病理解剖時に摘出された臓器の肉眼写真を示す. 臓器はどれか.

【 解答 】 脾臓

この脾臓の画像、全く同じです…!サービス問題ですね。
肝臓
肝臓は右上腹部にあり、赤褐色の1000〜1200g※の臓器である。肝鎌状間膜を境に大きな右葉と小さな左葉から構成される。
※ 男女で少し重量が違いますが、国家試験レベルでは重量差まで覚える必要はないです。
第62回 午後 問45
病理解剖時に摘出された臓器の肉眼写真を示す. 臓器はどれか.

【 解答 】 肝臓
第54回 午後 問50
解剖時肝臓のホルマリン固定後割面写真を示す. この疾患に合併しやすいのはどれか. 2つ選べ.

【 解答 】 脾腫・食道静脈瘤

肝硬変ですね。肝硬変による合併症はたくさんありますが、門脈圧亢進症が代表例で、脾腫と食道静脈瘤はどちらも門脈圧亢進症によりきたす症状です。
肺
肺は胸腔を胸膜に包まれて満たしている実質臓器である。右肺は上・中・下の3葉で構成され重量は約600g、左肺は上・下の2葉で構成され重量は約500gである。
第71回 午前 問58
病理解剖時に摘出された臓器のホルマリン固定後の肉眼写真を示す. 臓器はどれか.

【 解答 】 肺
心臓 / 大動脈弁
心臓と大動脈弁は一緒に解説します!
心臓は握りこぶし大で2枚の心膜 ( 心外膜・心嚢 ) で包まれ、心膜腔は少量の漿液で満たされている。重量は約250gである。2心房と2心室からなり、左右の心房と心室の間には中隔が、心房と心室、大動脈と心臓の間にはそれぞれ逆流防止弁が存在する。

| 大動脈弁 | 左心室からの大動脈の出口 |
| 肺動脈弁 | 右心室からの肺動脈の出口 |
| 僧帽弁 | 左心房と左心室の間 |
| 三尖弁 | 右心房と右心室の間 |
第69回 午後 問55
心臓の内腔を展開した肉眼写真を示す. 枠内の名称はどれか.

【 解答 】 大動脈弁
第58回 午後 問48
ホルマリン固定後の臓器割面写真を示す. この臓器はどれか.

【 解答 】 心臓

黄色矢印で示されている部位は瘢痕で、心筋梗塞や拘束型心筋症などで生じます。
心臓の解剖学的特徴を問う画像問題とリポフスチン( 老化により蓄積する消耗性色素 ) を問う画像問題もあったので載せておきます↓
第66回 午前 問49
萎縮を示す心臓のH-E染色標本を示す. 矢印で示すのはどれか.

【 解答 】 リポフスチン
第56回 午後 問45
組織のH-E染色標本を示す. 骨格筋との共通点はどれか. 2つ選べ.

【 解答 】 横紋がある / 過剰な負荷によって肥大する
まとめ
一部を除きなんとなーく感覚で解けるような問題が多い印象でしたが、臓器を同定する問題も組織診の問題も定番の問題なので、しっかり押さえておきましょう!
そして、国試が先なのか、例のサイトが先なのか正確には不明ですが、同じ画像が2枚も使用されていたことがわかったのであのサイトはしっかりチェックしておきましょう!

いろんな標本が見れて普通に勉強になるサイトですしね!
♦ ウラ解答の教材はこちら
♦ その他のまとめ記事はこちら
♦ 過去問周回サイトはこちら
